
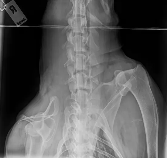
Niedawno trafił do nas starszy pies znaleziony przez pracowników stacji uzdatniania wody. Leżał skulony pod drzewem, cichy, bezbronny, jakby już pogodził się z losem. Kiedy pojechał po niego pracownik schroniska, szybko okazało się, że coś jest bardzo nie tak - pies ledwo się poruszał, z trudem wstawał, każdy krok sprawiał mu ból. Wezwany lekarz weterynarii stwierdził wstępnie zmiany zwyrodnieniowe, podał leki przeciwbólowe i wyraził zgodę na przewiezienie psa do schroniska. Niestety, gdy działanie leków zaczęło ustępować, Magik znów ledwo podnosił się z posłania. Zabraliśmy go do naszego weterynarza na dokładną diagnostykę. Dziś wiemy już więcej. Magik ma około 11 lat, a badania RTG wykazały poważne zmiany w kręgosłupie. Lekarz widzi wskazanie do operacji, ale zanim podejmiemy jakiekolwiek decyzje, konieczne jest specjalistyczne badanie - rezonans, które pokaże, co dokładnie dzieje się z rdzeniem kręgowym i czy operacja ma sens oraz jakie daje rokowania. Takie badanie możemy wykonać tylko w klinice we Wrocławiu. Koszt: 2500 zł. Od tego badania zależy dalszy los Magika. Jeśli okaże się, że można operować - zrobimy wszystko, aby dać mu szansę na życie bez bólu. Na operację uruchomimy osobną zbiórkę.
Teraz najważniejsza jest diagnostyka. Magik już raz został pozostawiony sam sobie. My nie zostawimy go teraz. Prosimy - pomóżcie nam zebrać środki na badanie. Każda złotówka to krok bliżej do diagnozy, ulgi w bólu i nadziei na normalne, spokojne życie.
Zbiórka na Burka to platforma fundraisingowa prowadzona przez Stowarzyszenie Inicjatywa dla Zwierząt. Służy do pozyskiwania środków finansowych na rzecz zwierząt w potrzebie. Na platformie organizowane są zbiórki na rzecz bezdomnych zwierząt oraz Schroniska dla Zwierząt Małych w Dłużynie Górnej. Dzięki zebranym datkom możemy lepiej opiekować się zwierzętami bezdomnymi, wolno żyjącymi, a także pomagać doraźnie właścicielom w trudnej sytuacji materialnej (zakup karmy, leków, operacje).
Stowarzyszenie Inicjatywa dla Zwierząt działa od 2004 roku. Od 2018 r. prowadzi Schronisko dla Zwierząt Małych w Dłużynie Górnej (gm. Pieńsk, woj. dolnośląskie). Obecnie mamy pod opieką około 150 zwierząt. Naszym celem jest pomoc zwierzętom bezdomnym, kotom wolno żyjącym oraz zwierzętom właścicielskim, których opiekunowie nie radzą sobie z ich utrzymaniem.
Dane Stowarzyszenia:
Stowarzyszenie „Inicjatywa dla Zwierząt”
NIP: 929-172-71-99
KRS: 0000213078
Plac Słowiański 17/3, 65-069 Zielona Góra
Tak. Stowarzyszenie posiada bezterminowe pozwolenie na zbiórkę publiczną wydane przez MSWiA.
Nr zbiórki: 2014/499/OR
Wpłat można dokonywać przez:
Nie, rejestracja nie jest wymagana. Na stronie nie publikujemy też listy darczyńców. Jeśli jednak darowizna ma zostać odliczona od podatku i potrzebne będzie potwierdzenie, należy podać swoje imię, nazwisko i e-mail, abyśmy mogli przypisać wpłatę do konkretnej osoby.